Decades of Experience Creating Beautiful & Healthy Smiles
Experts in Orthodontics – At Your Service
We're here to help make your dream smile a reality. It's our specialty!

Welcome to Waldman Orthodontics
Orthodontics for Children, Teens & Adults in Beverly Hills
At Waldman Orthodontics, we offer orthodontic services such as braces and clear aligners for patients from Beverly Hills, Los Angeles, Santa Monica, West Hollywood, and beyond.
Orthodontic treatment should be available to anyone at any age but we believe in taking a conservative approach to treating orthodontic conditions in young children. We intervene early when necessary to set them on the right path and prevent more invasive treatments as they get older.
When it comes to teens and adults, our goal is to provide minimally intrusive, low-profile orthodontic treatment that is designed to be compatible with any lifestyle, while also achieving a beautiful and healthy smile. To help make your orthodontic treatment more convenient, we use the DentalMonitoring smartphone app. Through this app, we can check in on our patients' smiles remotely using photos they send us.
Clear Aligners for All Ages in Beverly Hills
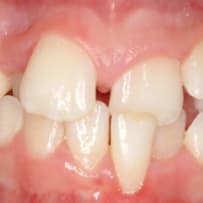
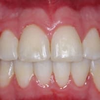
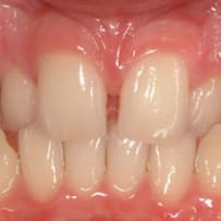
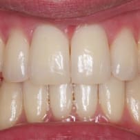
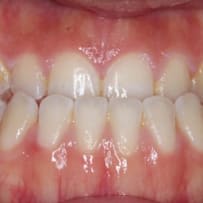
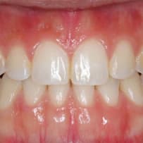
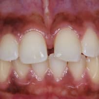
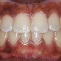
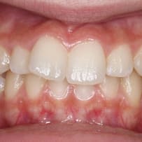
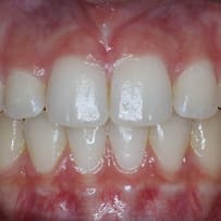
Before & After
Check out the treatment results of former patients from Waldman Orthodontics.
Find Us in Beverly Hills
At Waldman Orthodontics, we serve patients of all ages from Beverly Hills, Los Angeles, Santa Monica, West Hollywood, and the surrounding areas.
- Convenient onsite parking
- Easy access by public transit
- Wheelchair accessibility











