Skip to Main Content
8641 Wilshire Blvd #310 Beverly Hills CA 90211 US
(310) 652-1515

Surgical Orthodontics

Surgical orthodontics combines our expert orthodontic care with a corrective jaw procedure done by an oral surgeon. This combined approach can significantly improve facial esthetics, bite function, and facial harmony. This procedure is reserved for the most challenging and complex orthodontic problems. 

Request Consultation

Surgical Orthodontics for Severe Orthodontic Cases

For some patients, jaw alignment issues can affect both how their smile looks and how it functions. In these cases, orthognathic surgery paired with orthodontic treatment can be an effective solution.

This advanced approach combines precise jaw correction with treatments like braces or clear aligners to create a healthy, balanced bite and a more harmonious facial appearance.

If surgery is recommended, Dr. Waldman will collaborate closely with a skilled oral surgeon to customize your treatment plan and guide your progress every step of the way. Together, we’ll help you achieve lasting results that not only feel better but look amazing too.

Benefits of Surgical Orthodontics

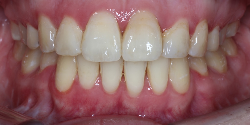
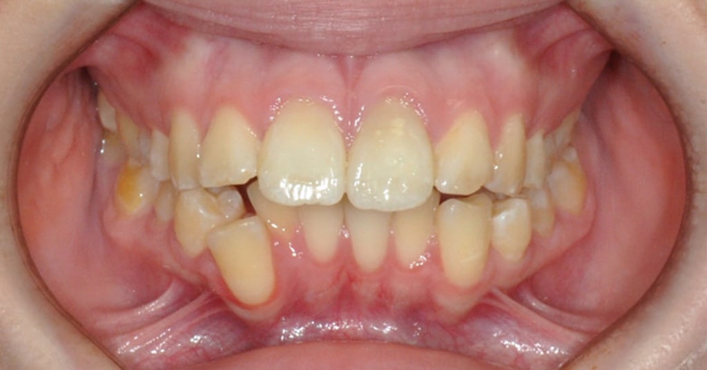
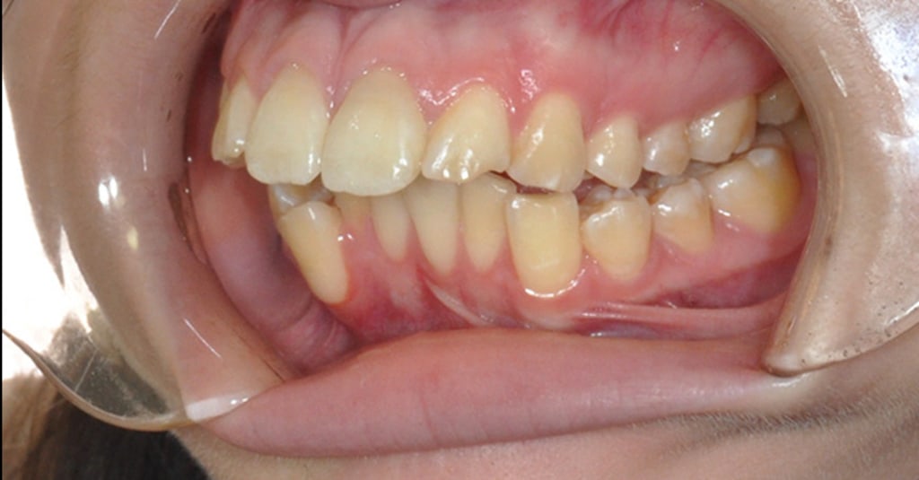
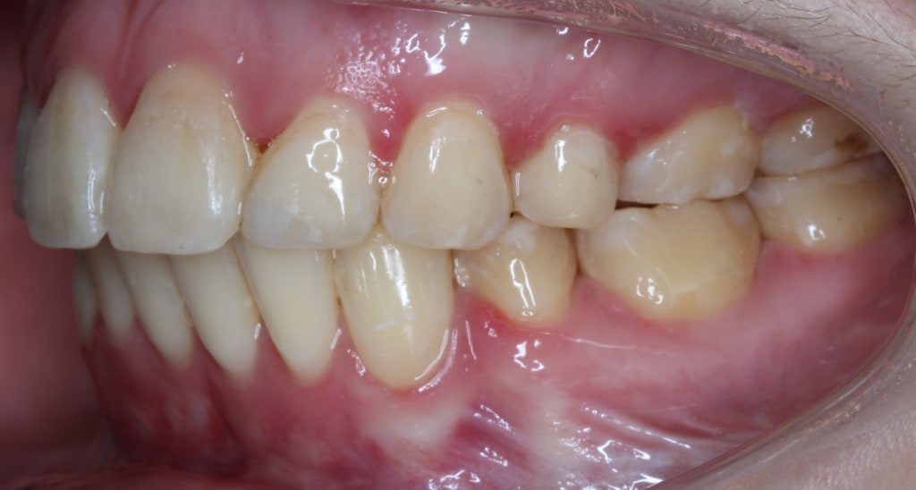
Before & After Orthognathic Surgery

Start Your Free Virtual Consultation

Begin your treatment journey from the comfort of your own home. Our online assessment software allows you to send us your treatment preferences and pictures of your smile today.

Get Started

The Orthodontic Surgery Process

Surgical orthodontics is a carefully coordinated treatment that brings together your general dentist, orthodontist, and oral surgeon to deliver exceptional, long-lasting results.

Your dentist will first ensure your teeth, gums, and jaw are healthy and ready for the next steps. Dr. Waldman will then guide your teeth into precise alignment in preparation for surgery.

Once you're ready, a skilled oral surgeon will reposition your jaw to achieve proper balance and function. After surgery, you'll complete the final phase of orthodontic treatment with Dr. Waldman, followed by custom retainers to maintain your beautifully aligned smile.

Benefits of Surgical Orthodontics

Surgical orthodontics blends personalized orthodontic treatment with corrective jaw surgery to create better alignment, function, and harmony between the upper and lower jaws.

In addition to transforming your bite and smile, this comprehensive approach can also support overall wellness by helping with TMJ concerns, jaw development issues, injuries, and even sleep-related conditions like obstructive sleep apnea.

Many patients also experience added benefits such as fewer headaches and easier breathing, chewing, and speaking. It’s a powerful step toward not just a healthier smile, but a better quality of life.