Treatment with Braces
Treatment with Clear Aligners
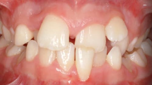
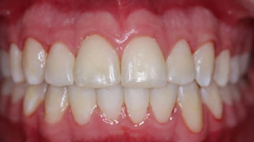
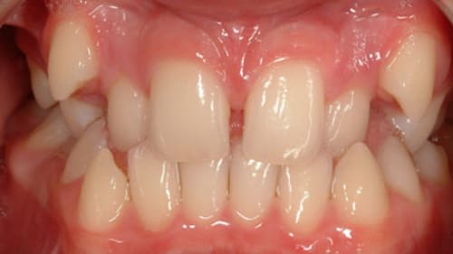
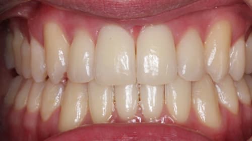
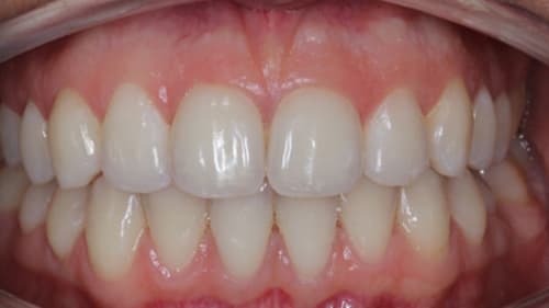
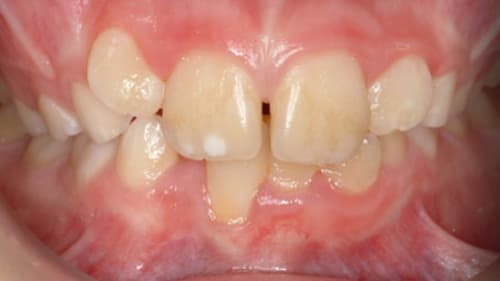
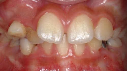
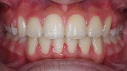
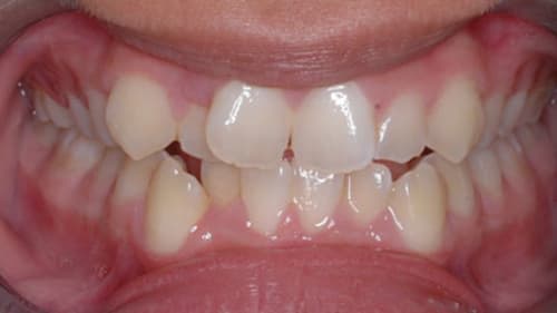
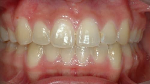
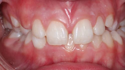
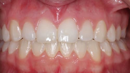
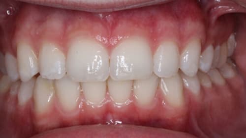
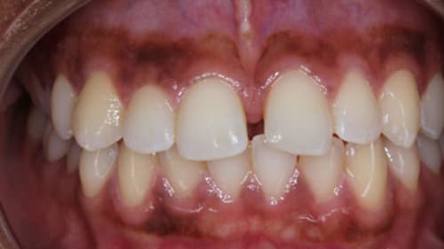
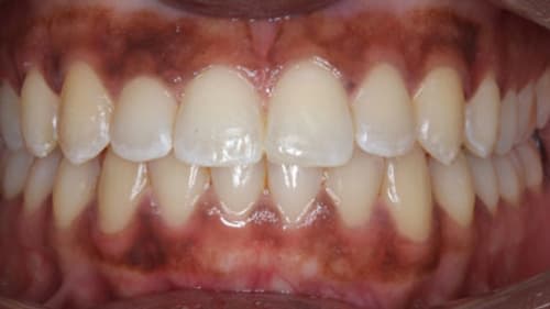
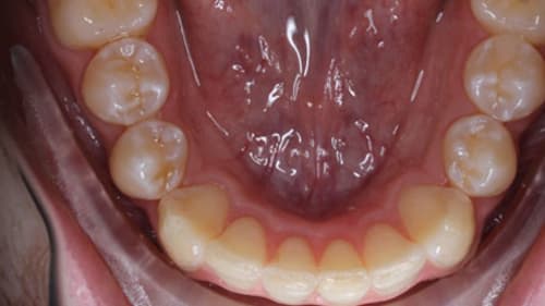
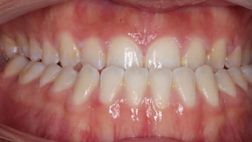
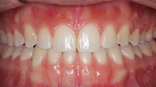
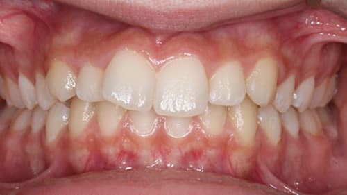
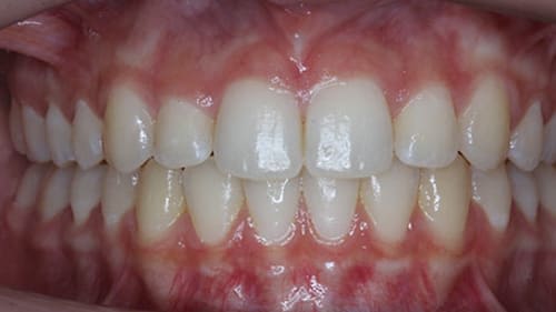
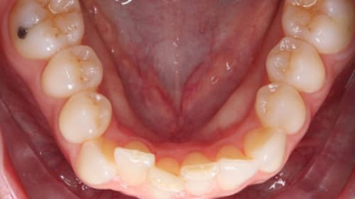
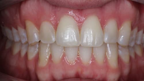
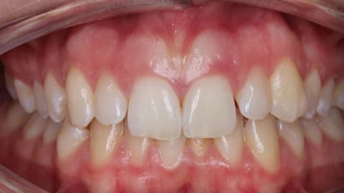
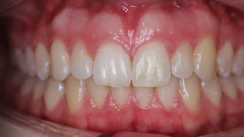
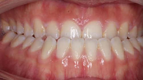
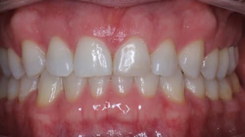
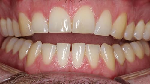
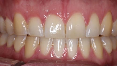
Click through to see the before and after smile transformation images from our real patients.
Before After Before After Before After Before After Before After Before After Before After Before After
















Before After Before After Before After Before After Before After Before After Before After Before After Before After Before After Before After Before After Before After

























